ORTODONCIA/ORTOPEDIA
MENTONERA
Aparato funcional extraoral para corregir clase III debida a que la mandíbula se encuentra adelantada respecto al maxilar (mandíbula grande).

ARCO FACIAL
Cuenta con doble arco (uno intraoral ajustado a dos bandas en las primeras muelas superiores y otro extraoral), sirve para la corrección de la Clase II (maxilar grande).

MÁSCARA FACIAL
Para corregir la clase III por maxilar pequeño. Va acompañada de un aparato fijo intraoral (suele ser un disyuntor) con unos ganchos en las bandas molares para adaptar unos elásticos que llevan al dispositivo extraoral.

DISYUNTOR
Aparato superior para la expansión ósea del paladar.

QUAD-HELIX
Es un aparato de expansión fijo soldado a primeros molares en dentición permanente, y a segundos molares temporales en caso de dentición mixta. Su función es expandir el ancho del arco dental y desrotar molares.

ARCO LINGUAL
Arco soldado a bandas que nos permite un anclaje exacto. El principal uso es para mantener la dimensión de la arcada cuando los dientes están semierupcionados o totalmente erupcionados.

BARRA TRANSPALATINA
Es un arco transpalatino, soldado o removible a las bandas de los primeros molares. Su uso está indicado para mantener buen anclaje, expansionar, rotar molares, etc.

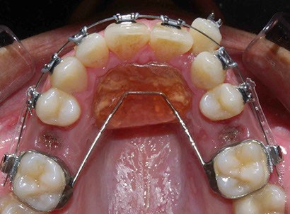
BOTON DE NANCE
Es un arco lingual que tiene como función principal la de mantener el anclaje de los seises y la dimensión de las arcadas dentarias.

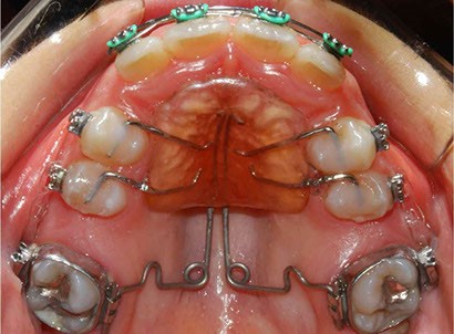
PÉNDULO DE HILGERS
Indicado para correcciones de maloclusiones de clase II dentarias. Consistente en un botón de Nance en el paladar para mantener el anclaje. Tiene una gran ventaja para un gran distalamiento de molares con poca colaboración del paciente.

